개인정보취급방침

365바른플란트치과의원 웹사이트 개인정보취급방침

365바른플란트치과의원은 귀하의 개인정보 보호를 매우 중요시하며,
개인정보 보호방침을 통하여 귀하께서 제공하시는 개인정보가 어떠한 용도와 방식으로 이용되고 있으며 개인정보 보호를 위해 어떠한 조치가 취해지고 있는지 알려드립니다.


개인정보의 수집목적 및 이용목적

병원은 다음과 같은 목적을 위하여 개인정보를 수집하고 있습니다.

단, 이용자의 기본적 인권 침해의 우려가 있는 민감한 개인정보는 수집하지 않습니다. 병원은 상기 범위내에서 보다 풍부한 서비스를 제공하기 위해 이용자의 자의에 의한 추가 정보를 수집합니다.


수집하는 개인정보 항목

병원은 온라인 상담 등을 위해 아래와 같은 개인정보를 수집하고 있습니다.

처음 방문하시나요?
내원 환자분들은 전화 예약 부탁드립니다. 감사합니다.
내원환자예약
055.323.2080
내원 환자분들은 전화 예약 부탁드립니다. 감사합니다.
예약 신청이 완료되었습니다.
일정 확인 후에 유선으로 안내 도와드리겠습니다. 감사합니다.
일정 확인 후에 유선으로
안내 도와드리겠습니다. 감사합니다.

365바른플란트 보철치료

 365 BARUN PLANT DENTAL CLINIC

치아의 기능을 회복하는

보철치료

보철치료란 치아를 상실했거나 충치, 잇몸염증, 외부적 충격으로 인해 발치 했을 경우
치아 손실이 큰 경우 치아 대신에 인공적으로 치아를 만들어 주는 치료를 말합니다.


365바른플란트치과의
보철물 종류

  • 인레이
  • 크라운
  • 틀니

인레이란?

주로 치아끼리 맞닿는 부분 또는 씹는 면에 충치가 생긴 경우에 충치 부위를 제거한 후
금이나 레진 또는 세라믹 등을 이용하여 손실된 부위를 충전하는 치료방법입니다.

  • 세라믹 인레이

    치아와 유사한 색과 강도를 가져 충치치료를
    하지 않은 듯한 심미적인 재료입니다.

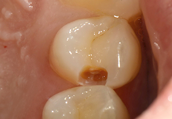
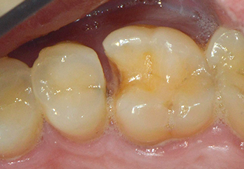
    • BEFORE

    • AFTER

  • 골드 인레이

    강도가 우수하고 침이나 음식물에 의한 부식이나
    변색이 덜하고 깨질 걱정이 없습니다.

    • BEFORE

    • AFTER

레진치료와 인레이의 차이점

레진 인레이
공통점 충치 치료에 가장 보편화된 치료법
치료
대상
충치 범위가 작고
씹는 힘이 적게
들어가는 곳에 적합
치아끼리 맞닿는 부분
또는 씹는면에 충치가
생긴 경우 시행
장점 접착력이 좋아 치아에서
빠져나올
가능성이 적으며
치아색과 거의 같음
손실된 치아와
똑같은 모양으로 제작,
치아의 기능을 거의 회복
단점 강도가 떨어져
충치부위가 넓거나
힘을 많이 받는 부분이
손상된 경우 사용하지 않음
충전물의 비용이
비교적 비쌈

크라운이란?

치아가 깨지거나 충치의 정도가 심할 경우 치아를 다듬고 본을 떠서 만든 보철물로
치아전체를 덮어씌워 치아를 보존하고 치아형태를 회복시켜주는 치료입니다.

크라운 치료과정

  • 1단계
    충치 부위 확인
  • 2단계
    충치 제거 및 신경치료
  • 3단계
    본을 뜨고 크라운 제작
  • 4단계
    자연치 같은 크라운 치료

크라운 재료 종류

  • 01PFM

    자연치아와 강도가 유사해 최소한의 치아 삭제와 인체 친화적인 재료로
    변색과 부식이 적습니다.
  • 02GOLD(금)

    치아와 씹는 강도가 유사하며 정밀하게 제작되어 치아와 적합도가 가장 좋습니다.
    탄성이 좋아 기능적으로 뛰어나며 인체에 무해하므로 알레르기 반응이 나타나지 않습니다.
  • 03지르코니아

    자연치아와 구별할 수 없을 정도로 자연스러우며
    강도가 높고 생체친화성이 우수해 알러지 유발 가능성이 낮습니다.

틀니란?

환자 스스로 장착 및 제거가 가능하고 세척도 할 수있는 가철성 보철물입니다.
치아가 탈락된 자리에 인공치아로 대체해주는 치료방법으로
과거에 비해 저작력과 심미성 모두 만족할 만한 기능을 갖추고 있습니다.

틀니 종류

  • 전체틀니

    치주질환이나 사고 등으로 전체 치아 상실

    치조골이 비교적 튼튼하고 치조골 상실이
    비교적 적은 경우 틀니가 잇몸에 잘붙어있어
    저작에 무리가 가지 않습니다.

  • 부분틀니

    부분적으로 다수의 치아 상실

    치아가 온전히 있을 때와 동일한 저작력을
    내지는 못하나 음식물 섭취 시에 불편함을
    느끼지 않을 만큼 도움이 되는 치료 방법입니다.

  • 임플란트틀니

    2개~6개 가량의 임플란트 식립이 가능한 경우

    입안에서 빠질 염려가 적고, 질긴 음식도
    씹을 수 있으며 자연치아 저작력의
    80% 이상의 힘을 낼수 있습니다.

틀니 보험 안내

건강보험으로 부담없이 치료받으세요
대상 만 65세이상 건강보험가입자 또는 피부양자
틀니
종류
완전틀니 - 치아가 하나도 없는 상태(완전무치악)
부분틀니 - 치아가 일부 없는 상태 (부분무치악)
보험
적용기간
7년에 1회
본인
부담률
30% (단, 차상위 희귀난치성 질환 5%, 만성 질환자 15%)
    • 오시는 길

      경상남도 김해시 삼계중앙로 22 5층
    • 진료시간

      평 일
      09:30 ~ 21:00
      점 심 시 간
      13:00 ~ 14:30
      토 · 일
      09:30 ~ 15:30*토, 일, 공휴일 점심시간 없음
      공 휴 일
      09:30 ~ 15:30
      점 심 시 간
      13:00 ~ 14:30

      *토, 일, 공휴일 점심시간 없음

    • 상담 및 문의

상호명 : 365바른플란트치과의원
대표자 : 박준익
경상남도 김해시 삼계중앙로 22 5층
TEL : 055.323.2080
사업자등록번호 : 324-47-01180

COPYRIGHTⓒ 2025 365 BARUN PLANT DENTAL CLINIC. ALL RIGHTS RESERVED.

월 / 수 / 금
09:30 ~ 18:30

화 / 목
09:30 ~ 20:00 ( 야간 진료 )

토 요 일
09:30 ~ 14:00
( 점심 진료 )
경상남도 김해시 삼계중앙로 22 5층

월 ~ 금 야간진료

365일 정상진료

[보기]